![]() |
| Budowa neuronu |
Układ nerwowy to zbiór komórek połączonych ze sobą w strukturę, która odpowiada za sterowanie aktywnością organizmu. Podstawowymi komórkami są neurony, połączone ze sobą synapsami. Neurony wymieniają między sobą impulsy nerwowe - przekazując molekuły posiadające ładunek elektryczny. Dlatego porażenie prądem paraliżuje system nerwowy i skutkuje na przykład zaciśnięciem palców na przewodzie - mięśnie reagują na prąd w niepożądany sposób. Jeśli jednak wszystko dzieje się według naszej woli, to impulsy z mózgu trafiają do celu, na przykład mięśnia, by ten wykonał pożądany przez nas ruch. Jest to oczywiście mocne uproszczenie.
![]() |
| Układ nerwowy człowieka |
Sto metrów na sekundę to szybko, ale nie dość szybko. Dlatego nasz organizm posiada obwody odpowiadające za odruchy. Działają one tak, że neuron czuciowy, który wykryje bodziec o sile dostatecznie dużej, by uszkodzić organizm, przesyła informację bezpośrednio do komórki ruchowej i sygnał dociera do mięśni, które od razu wykonują unik. Dzieje się to bez udziału mózgu i oznacza, że nasz organizm, częściowo, może funkcjonować bez jego udziału... oczywiście są to bardzo daleko posunięte wnioski.
![]() |
| Sieć neuronowa |
Odpowiedź jest prosta - przestaną działać, co będzie przyczyną śmierci całego organizmu. Brak połączeń nerwowych w kończynie powoduje jej paraliż, brak połączenia do gruczołu wyłącza jego funkcjonowanie. Wszystkie te obwody, choć działają bez naszej świadomości, mają wspólną cechę - łączą się za pośrednictwem rdzenia kręgowego z pniem mózgu - częścią mózgu, która odpowiada za jej pracę i bez której absolutnie niemożliwe jest przeżycie. To właśnie w pniu mózgu znajdują się ośrodki dla czynności odruchowych, takich jak ssanie, żucie, połykanie, wymioty, kichanie,
kaszel, mruganie powiekami, wydzielanie potu, regulowanie przemiany
materii. Wszystkie te odruchy są wrodzone i występują już u noworodków. To, co nazywamy instynktem, to tak naprawdę zaprogramowane w nas odruchy, które nie wymagają świadomości do działania.
Zatem niezbędne jest połączenie narządów z pniem mózgu. A co z resztą układu nerwowego? Tak naprawdę nie jest potrzebny do egzystencji. Bez niego będziemy sparaliżowani, ale organizm będzie żył. Ot, tak po prostu. Pozostaje ostatnie pytanie. Co z mózgiem, o którym, zdawałoby się, zapomniałem w tym artykule. Czy da się przeżyć bez mózgu?
Nie da się przeżyć bez pnia mózgu - co do tego nauka, o ile się nie mylimy, nie ma wątpliwości. Dlaczego mielibyśmy się mylić? Otóż na świecie żyją i całkiem normalnie funkcjonują ludzie, którzy według lekarzy nie powinni żyć. Jak to jest więc z tym mózgiem? Znamy przypadki, w których w czasie wypadku dochodzi do poważnego uszkodzenia głowy i mózgu. Zdjęcia osób u których brakuje połowy czaszki są powszechnie znane i łatwe do odnalezienia: przykład. Jakkolwiek nienaturalnie by to nie wyglądało, nie są to fotomontaże. Można normalnie żyć bez znacznej części mózgu.
No dobrze, można wycinać i żyć, ale bez jak bardzo znacznej części? Znany jest przypadek kobiety, która prowadzi normalne życie, zdobyła średnie wykształcenie i pracę, mimo tego, że urodziła się bez jednej półkuli mózgu. Fakt ten odkryto dopiero, gdy miała 27 lat. Więcej szczegółów tutaj.
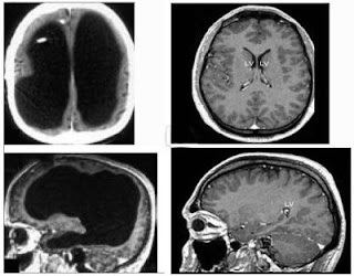
Ale dość półśrodków. Przejdźmy do rzeczy. Ile mózgu da się wykroić i nadal żyć? Oczywiście, należało się spodziewać takiej odpowiedzi - nie wiemy tego. Aby jednak usprawiedliwić fakt, że po raz kolejny opowiadam o czymś, co nie jest wiadome na pewno, przedstawię przypadek 44-letniego Francuza, który zdaniem lekarzów nie powinien żyć, gdyż posiada zbyt mały mózg - najmniejszy udokumentowany na świecie. Mimo to pracuje jako urzędnik państwowy, ma żonę i dzieci. Przeprowadzony test IQ wyszedł na poziomie 75 punktów - znacznie poniżej średniej, wynoszącej 100, ale w żadnym wypadku nie można go uznać za upośledzonego.
Fenomen ten odkryto przypadkowo, gdyż mężczyzna zgłosił się do szpitala z powodu, paradoksalnie, bólu nogi. Jego czaszkę prawie całkowicie wypełnia płyn mózgowo-rdzeniowy, który uniemożliwił mózgowi rozwój. Ale jak widać - nie miało to większego znaczenia. Na obrazku powyżej widać dwa mózgi. rzut z lewej przedstawia mózg francuza, czarne pole to płyn wypełniający czaszkę. Po lewej, dla porównania, widzimy normalny mózg. Różnica jest olbrzymia.
Wiemy, że mózg jest niezwykle elastyczny - brak jednej półkuli uzupełnia, przekazując drugiej jej zadania i może nadal normalnie funkcjonować. Nie znamy granic jego elastyczności, ani nie wiemy, ile możemy wykroić, aby wciąż żyć. Okazuje się, że nasz organizm potrafi zaskoczyć nawet współczesną naukę i wygląda na to, że nieprędko się to zmieni.
Źródła:
![]() |
| Budowa mózgu |
No dobrze, można wycinać i żyć, ale bez jak bardzo znacznej części? Znany jest przypadek kobiety, która prowadzi normalne życie, zdobyła średnie wykształcenie i pracę, mimo tego, że urodziła się bez jednej półkuli mózgu. Fakt ten odkryto dopiero, gdy miała 27 lat. Więcej szczegółów tutaj.
![]() |
| Najmniejszy udokumentowany mózg (po lewej) Normalny mózg ludzki (po prawej) |
Fenomen ten odkryto przypadkowo, gdyż mężczyzna zgłosił się do szpitala z powodu, paradoksalnie, bólu nogi. Jego czaszkę prawie całkowicie wypełnia płyn mózgowo-rdzeniowy, który uniemożliwił mózgowi rozwój. Ale jak widać - nie miało to większego znaczenia. Na obrazku powyżej widać dwa mózgi. rzut z lewej przedstawia mózg francuza, czarne pole to płyn wypełniający czaszkę. Po lewej, dla porównania, widzimy normalny mózg. Różnica jest olbrzymia.
Wiemy, że mózg jest niezwykle elastyczny - brak jednej półkuli uzupełnia, przekazując drugiej jej zadania i może nadal normalnie funkcjonować. Nie znamy granic jego elastyczności, ani nie wiemy, ile możemy wykroić, aby wciąż żyć. Okazuje się, że nasz organizm potrafi zaskoczyć nawet współczesną naukę i wygląda na to, że nieprędko się to zmieni.
Zapraszam do lektury pozostałych artykułów z tego cyklu, linki będą się pojawiać w miarę powstawania:
Układ mięśniowy
Układ krążenia
Układ moczowo-płciowy
Układ oddechowy
Układ trawienny
Źródła:
![]() |
| Homer Simpson jeszcze nie wie... I raczej się nie dowie. |
- http://pl.wikipedia.org/wiki/Uk%C5%82ad_nerwowy
- http://portalwiedzy.onet.pl/142105,,,,uklad_nerwowy_czlowieka,haslo.html
- http://pl.wikipedia.org/wiki/Neuron
- http://pl.wikipedia.org/wiki/Synapsa
- http://pl.wikipedia.org/wiki/Rdze%C5%84_kr%C4%99gowy
- http://pl.wikipedia.org/wiki/Nocyceptor
- http://pl.wikipedia.org/wiki/Impuls_nerwowy
- http://pl.wikipedia.org/wiki/Pie%C5%84_m%C3%B3zgu
- http://czywiesz.pl/zdrowie/252539,Czy-wiesz-dlaczego-serce-bije.html
- http://pl.wikipedia.org/wiki/Uk%C5%82ad_bod
%C5%BAcotw%C3%B3rczo-przewodz%C4%85cy_serca
Ten doktor wie, że mózg
nie jest potrzebny do życia - http://davidicke.pl/index.php/artykuly/45-ewolucja/337-serce-ma-swoj-wasny-mozg-i-wiadomo.html
- http://portalwiedzy.onet.pl/67359,,,,autonomiczny_uklad_nerwowy,haslo.html
- http://deser.pl/deser/1,83453,7140793, Nie_ma_polowy_mozgu__I_prowadzi_normalne_zycie.html
- http://www.eioba.pl/a/1nur/czlowiek-bez-mozgu-zyje-we-francji
- http://www.newscientist.com/article/dn12301-man-with-tiny-brain-shocks-doctors.html#.UcMeOZx0lYw






Brak komentarzy:
Prześlij komentarz